14 Jun Why Cone Beam CT Eliminates More Oral Pain
If only pets could talk and tell us when they had a toothache! But dogs and cats are exceptionally good at hiding pain. They eat to survive, and they always put on a happy face (or tail!) for the people they love most. Dogs and cats have an instinct to hide pain, as any sign of weakness in the wild may mean that you get eaten. And while veterinarians are heroes to many, x-ray vision is not one of our superpowers! We need veterinary cone beam CT scans to give us a closer look at what’s bothering your pet.

Veterinary Cone Beam CT Scans Help Us Diagnose Dental Disease
What are we looking for anyway?
When a dog or cat comes in for a physical exam, a veterinarian can detect many issues including tartar, inflamed gums, fractured teeth, and gum recession. Under general anesthesia, a veterinarian can take a closer look using magnification, bright lights, and a dental probe. But what we can’t see with our eyes includes the internal anatomy of the tooth, the roots, and the surrounding bone—where significant disease may be hiding.
Taking x-rays of the teeth (dental radiographs) helps reveal what is happening below the gum line, which determines what treatment options are available for your pet. Most dental radiographs are obtained by using a digital sensor that is placed in the mouth just like when you go to the dentist. Research has shown that dental radiographs can find up to 30% more abnormalities than an oral exam alone, even if that exam is performed by a specialist. And that 30% is only counting abnormalities that require treatment!
https://pubmed.ncbi.nlm.nih.gov/9622735/ dogs
https://europepmc.org/article/med/9622736 cats
Examples of common problems found using dental radiographs include root resorption, abscessed teeth, impacted teeth, and non-vital teeth. Any of these could cause your dog or cat pain, or could lead to even bigger problems.
Regular anesthetized oral exams and full-mouth dental radiographs are important for preventing chronic pain in our pets.
But what could we be missing?
Dental radiographs are an essential part of any complete oral exam, but newer technology can provide even more information. At Animal Dental Care & Oral Surgery, we have a chairside cone beam computed tomography (CBCT) unit that gives us a 3D image of a dog’s or cat’s head in as little as 30 seconds.
CBCT is more sensitive than dental radiographs when you are looking for changes in the bone, whether it’s an abscess starting to form at a tooth root or for early detection of some cancers. And it’s not just the teeth that we get information on. CBCT also shows us the nasal cavity and sinuses, deeper structures of the ear, and temporomandibular joints.
https://www.frontiersin.org/articles/10.3389/fvets.2019.00042/full CBCT cats
This dog has periapical bone loss at her fractured tooth. This type of bone loss indicates that the pulp has died and resulted in inflammation and/or infection in the surrounding tooth. The dog was eating and behaving like nothing was wrong!

This cat has middle ear disease, another problem that would not have been found with dental radiographs.

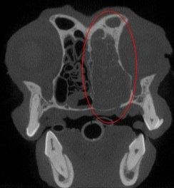
This dog came in for suspected periodontal disease but was found to have a large tumor in the right side of the nose. This tumor was not visible on dental radiographs and the dog did not have any obvious symptoms at the time. The circled area is the side with the tumor.

CBCT is especially helpful in trauma cases. While dental radiographs can only show fractures that occur where there are teeth, CBCT can show us fractures in any part of the skull. Having all of the information allows us to make better decisions for pets in regard to treatment and the potential long-term effects of an injury. Here is an image of a left lower jaw fracture:

In summary
Everyone is concerned about anesthetizing their pet for a dental cleaning, even when they know it is in their pet’s best interest. So why not get all the information that you can for your pet? At Animal Dental Care & Oral Surgery, we recommend that every pet coming in for an anesthetized oral exam get a CBCT scan so that we don’t miss any painful problems that can be fixed while your pet is with us.
Get a diagnosis for your pet with Xoran 3D CT (xorantech.com)
Images used under creative commons license – commercial use (6/13/2023). Photo by Krista Mangulsone on Unsplash Photo by Klaus Nielsen on Pexels