01 Mar It’s Stick Season–Should You Let Your Dog Play with Them?
It’s a common sight in parks and woodlands everywhere–a happy dog bouncing along with a stick in its mouth (sometimes 2-3 times the length of the dog!). For some reason, many dogs seem to absolutely LOVE to pick up sticks and carry their treasures while they walk. Is this a problem? Not necessarily, but it can be.
How can sticks be harmful to dogs?
The problem lies not with carrying sticks, but with chewing them. Some dogs love to gnaw away on sticks, breaking off pieces of bark and wood as they go. Most sticks aren’t hard enough to break teeth, but that doesn’t mean they’re completely harmless.
Have you ever had that piece of popcorn or a raspberry seed that gets lodged between your teeth? It’s so annoying, you can’t stop until you get it out with a toothpick or some dental floss. Have you ever wondered what would happen if you just left it there? That is essentially what can happen when dogs chew sticks.
When a dog aggressively chews on a stick, small pieces of wood can break off and get stuck between the teeth. Usually this happens near the back of the mouth, as the premolars and molars are the main teeth used for chewing. Unlike a person, a dog isn’t going to reach for a toothpick, and it is easy for this to go unnoticed. Over time, the presence of this material (called a foreign body), causes inflammation and infection which can lead to periodontal disease and severe bone loss. In severe cases, this can become so advanced that nothing can be done but extract the affected teeth.

Picture showing a defect in a dog’s right mandible between the first and second molar, caused by stick impaction.

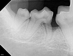
X-ray of the same dog showing significant bone loss around the mesial (front) root of the right mandibular second molar.
Does this mean I should stop letting my dog play with sticks?
Carrying and playing with sticks should be just fine. However, it is a good idea to prevent your dog from aggressively chewing on a stick over a long period of time and breaking it apart. It is also smart to learn how to look at your dog’s teeth to check for any foreign material in case you do catch them in the act. This is also a great idea anyway, as it allows you to catch other problems such as broken teeth and oral masses early!
What should I do if my dog has something stuck in its teeth?
If you notice something stuck in your dog’s teeth, you may be able to remove it by simply brushing the teeth or flushing the area with some warm water using a syringe or squirt bottle. If you are unable to remove the material, make an appointment with your veterinarian. Your veterinarian may be able to remove the material while your dog is awake, but if not, an anesthetized oral exam and dental cleaning may be recommended. The important thing is to address the problem early to avoid long-lasting effects like bone loss and periodontal disease.
Schedule your dog’s annual dental cleaning in Fort Collins
It is also important to remember that it may not always be easy to identify material stuck in the teeth while your dog is awake–especially if they’re rambunctious or uncooperative. Sometimes the only sign that pet owners notice is a new foul odor with no other known cause. This is yet another reason why annual anesthetized dental exams and cleaning are so important. If your dog is due for their annual checkup, make an appointment with Animal Dental Care & Oral Surgery today.
Images used under creative commons license – commercial use (3/1/2024). Photo by Jamie Street on Unsplash