19 Sep What are the signs that my dog has an infected tooth?
Dogs and cats can get infected teeth for a variety of reasons including a broken tooth that gets bacteria inside of it, a dead tooth and periodontal disease. The symptoms can include facial swelling, a wound on the face that won’t heal or bad breath. When a tooth is broken, it exposes the pulp, the living tissue in the center of the tooth. If the pulp is exposed, it will die and bacteria from the mouth can travel up the roots and create infection in the surrounding bone. Dead teeth can also get infected because bacteria love to grow in dark, enclosed spaces. In both situations, the resulting infection is also called a tooth root abscess. A periodontal abscess is when the infection is in the tissue surrounding the tooth, but the inside of the tooth is alive and healthy.
All infections in the mouth can be painful and bad smelling. They can also be bad for your pet’s overall health. If your pet develops a swelling on the muzzle or under the eye, it’s a good idea to find out if it is caused by a tooth infection. Teeth in the lower jaw can get infected, but because the boney walls of the lower jaw are thicker, you may not see any swelling. Any tooth infection can cause a pocket of pus that may rupture and drain outside of the skin or inside of the mouth. Antibiotics can help the area to heal, but the problem will recur unless the tooth is treated either by extraction or root canal therapy.
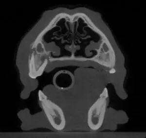
Here are some example cases of tooth infections. In the case shown below, the dog’s left upper fourth premolar was fractured but the pulp was not directly exposed. One day the dog developed a swelling under her left eye. A cone beam CT showed that the tooth had died and the infection around the roots caused bone loss (called a periapical lucency) that spread into the nose. Fortunately extracting the tooth went smoothly and the swelling on the face resolved.

In the following case, the right lower first molar had chronic pulp exposure. This caused an infection in the bone (osteomyelitis) that spread beyond the tooth roots. Although this many changes in the bone can also be due to cancer, a biopsy confirmed that it was just infection. Again, extraction of the tooth fixed the problem, and the dog felt much better afterwards. Antibiotics were used because the infection in the bone was so extensive.

If you think that your dog or cat has a broken or dead tooth, the sooner you can get it treated, the better. Often our pets suffer in silence, and we think they are OK if they keep eating. Remember that animals are good at hiding their injuries and illnesses. Regular exams with your veterinarian and checking your pets teeth at home can help identify tooth problems before they get too bad. If you have any questions about your dog or cat’s teeth, feel free to call Animal Dental Care & Oral Surgery at (970) 732-9777 or email us at info@covetdentist.com.
Images used under creative commons license – commercial use (9/19/2024) Image by Phuong Le from Pixabay